CEREC Restorations

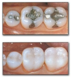
For decades it has been accepted, reluctantly, that to have teeth restored, 'capped', or filled meant having unsightly black metal evident in one's smile.

The desire to have white, natural looking restored teeth was met by porcelain or white composite (a hard plastic). Bonding of these metal-free materials to the teeth has revolutionised restorative dentistry and white smiles are now the norm.

It is no longer necessary to accept the multicoloured disfiguring dental display so much mocked by American comedians.

Since installing my first CEREC CAD/CAM computer in 2004 I have been delighted to offer what I consider to be the OPTIMUM in such tooth coloured restorations.

The CEREC restorations are highly resistant to wear, meaning that they are low maintenance once fitted. They are much superior to composite filling material in wear resistance.

They are almost Teflon-like in that bacterial plaque is so easily brushed from the CEREC restoration surface, an important advantage in prevention of decay and gum problems.

So what is a CEREC RESTORATION?

CEREC - Bluecam

Developed by Siemens in Germany, my CEREC unit is a computer
which has the capability of 'scanning' the prepared tooth with a 3D camera (no impressions required!).

This scan results in a 'virtual' picture in the computer memory upon which I am then able to design the required Crown, Veneer, Inlay, or Onlay.

The restoration, crown, inlay, only, or veneer is now computer designed. This only takes a few minutes.

When I have completed a satisfactory design, at the press of a button our CEREC Milling machine upstairs proceeds to fabricate the restoration. This it does by precision milling from a high quality ceramic block.

The milling machine takes about 15 minutes to provide us with our finished item, all ready to bond onto the tooth.

Thus you can see that in one single visit a strong, aesthetically pleasing restoration can be completed and in place, restoring strength, appearance, comfort , and confidence.

In the restoration of a tooth, whether damaged by decay or by fracture, or simply to replace old discoloured crowns or fillings, I can offer no better alternative for now or in the future than CEREC.

In my opinion CEREC is simply the best.